
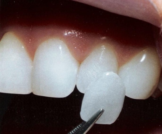
Lentes de Contato Dental são películas de porcelana altamente resistentes que foram projetadas para cobrir imperfeições dentárias proporcionando um sorriso perfeito sem danos, sem dor e sem sensibilidade.



Permitem a correção de cor, posição e espaços que possam existir entre um dente e outro.
Facetas de porcelana têm várias vantagens se comparado às facetas diretas de resina composta:
Para te ajudar com essas dúvidas criamos um material, um pequeno e-book ilustrativo com fotos e imagens explicativas, que vão certamente ser um ponto de referência para suas consultas e para suas decisões.
Para ter acesso ao conteúdo desse material exclusivo, que foi produzido por nossa equipe de profissionais especialistas, basta solicitar através do e-mail no campo abaixo, que enviaremos para você!
Um abraço
