Hábito de "apertar os dentes" pode causar zumbidos
Hábito de "apertar os dentes" pode causar zumbidos
Zumbidos incômodos podem ser comuns a muitas pessoas ou até parecer algum tipo de problema no ouvido. O fato é que esse problema acomete cerca de 20% da população mundial e 17% dos brasileiros.
Esses zumbidos podem ser fruto de erro de informação do cérebro. O fato é que existe um engano neurológico e, junto ao apertamento dos dentes, acabam sendo gerados zumbidos ao invés de dores de cabeça ou até desconforto.
Nesses casos, o problema torna-se da especialidade de um cirurgião-dentista, que consegue identificar e tratar as questões de anomalias dentofacias (problemas ortodônticos) e, assim, fazer com que o paciente reduza esses zumbidos.
Hoje, o grande problema e gerador disso tudo são os casos de estresse excessivo, problemas emocionais, entre outros fatores. A pessoa acaba descarregando tudo isso pressionando e causando apertamento dos dentes, o que conseqüentemente gera o zumbido.
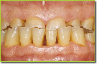
Na verdade, o apertamento dental, cientificamente chamado de bruxismo, é um assunto sério e pode apresentar-se com ou sem ranger de dentes. Trata-se de um problema odontológico grave, que pode causar sérias conseqüências.
Desgaste excessivo dos dentes; fraturas de dentes e restaurações; dores de cabeça, pescoço, ao redor dos olhos; zumbidos; estalos; dificuldade em abrir ou fechar a boca; trismo (Travamento da boca, aberta ou fechada); “sensação de ouvido entupido”; são alguns exemplos. O tratamento começa com avaliação do encaixe entre os dentes, feito por seu dentista. Algumas radiografias podem ser necessárias para avaliação e montagem de um plano de tratamento (Documentação ortodôntica). O tratamento normalmente é realizado após a avaliação da oclusão. O uso de aparelhos pode ser necessário, se o encaixe entre os dentes estiver ruim.
O uso de placas interoclusais ativas ou de proteção também pode ser uma opção. É importante que a placa reproduza todas as guias de oclusão que seus dentes não apresentem naturalmente. A melhor coisa a se fazer é procurar orientação com seu dentista. As especialidades envolvidas no tratamento são a ortodontia e DTM (Especialidade odontológica envolvida no tratamento da ATM – Articulação Têmporo-Mandibular).


